2026年2月23日
こんにちは!本日もクリニックのブログをご覧いただきましてありがとうございます♪
院長の長谷川です。
ここでは、実際によくある患者さんのケースを想定した症例ベースでお話しします。
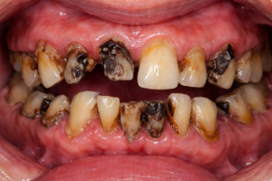
来院時のお悩み
・歯周病や虫歯で歯がほとんど残っていない。
・食事をしても、美味しくない。外食を避けている。
・口元が気になり、人前で笑えない。
診断と治療方針
X線・CT・口腔内精密検査の結果
→ 重度歯周病+多数歯欠損

選択肢として
・入れ歯
・オールオン4or6
・段階的インプラント
を比較検討し、
短期集中治療(1Day ペリオ)+インプラントを選択。
治療の流れ(概要)
1.歯周病コントロール
2.抜歯・感染除去
3.インプラント埋入
4.仮歯での咬合調整
5.最終補綴装着
治療後の変化

症例からお伝えしたいこと
ボロボロの歯でも、
適切な診断と治療で十分に回復は可能です。
重要なのは「どこで、どのような方針で治療を受けるか」です。
最後に|同じ悩みを抱える方へ
もし今、
・ボロボロの歯を放置している
・噛めない
・人前で笑えない
そう感じているなら、一度ご相談ください。
▶ インプラント(10年保証※種類により異なります)
▶ オールオン4
▶ 短期集中治療
▶ 歯周病治療
ご予約は【WEB】または【お電話】より承っております。
当院では、自費診療でお口の治療をしっかり行いたいとお考えの方に、初診時に個別相談の機会を設けています。
現在のお口の状態を確認しながら、お悩みや疑問、不安などをお伺いします。どんなことでも構いませんので、お気軽にご相談ください。
ご興味のある方は、下記よりお問い合わせください。